Groveport Smiles

Smile Gallery

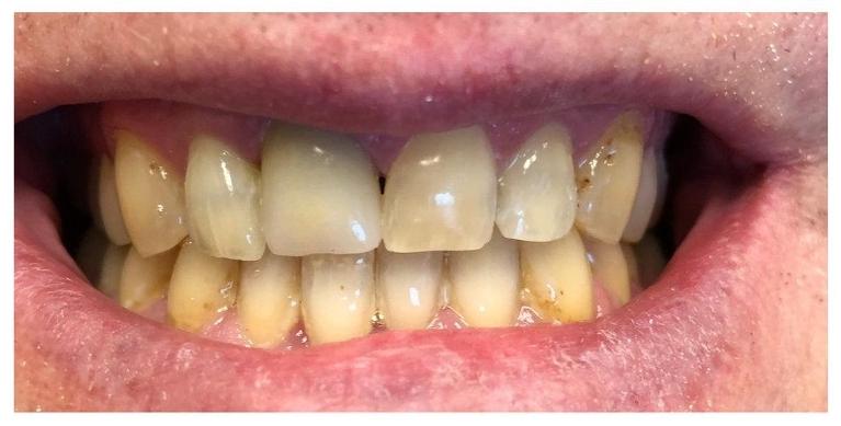
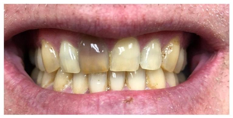
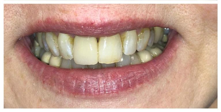
We believe that everyone deserves to experience the benefits of a healthy, problem-free smile. Please take a look at some of the dramatic improvements we've achieved for our patients, then call us to start your own smile makeover.

Love Your Smile Today – Call for a Consultation
Smile Gallery Categories
If you have difficulty using our website, please email us or call us at (614) 836-0500
View the ADA Accessibility Statement