Dental Crowns & Bridges

Do you have damaged or broken teeth that make it painful to chew? Do you have one or more missing teeth that detract from your appearance and your self-confidence? 

Life is too short, and you have too many things to do to be slowed down by damaged or missing teeth that impact your self-esteem and comfort. Dr. Sacheen Garrison offers solutions like dental crowns and bridges that can have you smiling confidently again in just a few weeks.

We Fix Broken Teeth with Dental Crowns

At Groveport Smiles, we understand that you need personalized treatment solutions to fit your unique needs. The first step is to schedule a dental appointment, so Dr. Garrison can assess your situation. She will review with you in detail how a dental crown or bridge would benefit you and if there are any other options. We’ll work with your financial needs to find the solution that helps you quality dental care in a way that’s comfortable for you. 

How We Use Dental Crowns

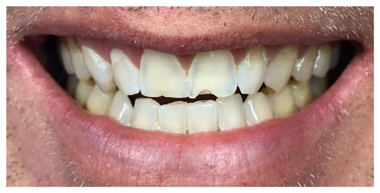
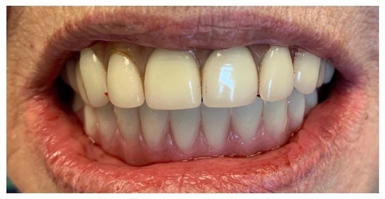
A dental crown is a tooth-shaped porcelain or ceramic jacket that fits over a broken tooth like a helmet. The crown adds a layer of protection to your tooth to protect it from further damage and restores chewing function. Your dental crown is customized for your smile so that the shape and shade match surrounding teeth seamlessly. 

Dr. Garrison would recommend a dental crown in several cases:

  • A cavity is too large for a dental filling
  • A broken or cracked tooth needs protection
  • You’ve had a root canal, and we need to protect the tooth
  • You have a dental implant and need a crown to restore function
  • We’re placing a dental bridge and need crowns for support

We can usually complete a dental crown in just two visits to our Groveport, OH dental office. During the first, Dr. Garrison prepares the tooth for your crown by removing a layer of dental enamel. We take impressions of your teeth and choose a shade for your new restoration that matches surrounding teeth for a seamless appearance. 

A custom dental lab then prepares your crown using our specifications. In about two weeks, we’ll have you return to our Groveport dental office to adjust your crown for fit and cement it in place.

Dental Bridges Replace Missing Teeth

When you lose a tooth, it’s essential to replace it as soon as possible. Going too long without replacing it can result in bone loss, gum recession, crooked teeth, and even further tooth loss.

A dental bridge is perfect if you’re looking to replace a missing tooth in Groveport, OH. Dental bridges are also a fast, affordable alternative to dental implants. A bridge not only improves your appearance but also makes it possible to chew comfortably again.

We typically design a dental bridge as a three-piece unit. It consists of an artificial tooth that sits in the open space and is called a pontic. To hold the pontic in place, we attach dental crowns to the teeth on either side of the gap. 

Is a Dental Crown or Bridge Right for You?

If you have a decayed, broken, or missing tooth, we can help. Please call our Groveport, OH dental office to arrange a dental appointment to learn more about crowns and bridges and how they can benefit you.